Menu
Nieuws Lijn1

Start met contrast-enhanced mammografie (CEM)

16 maart 2026

Sinds eind februari is in het Deventer Ziekenhuis gestart met contrast-enhanced mammografie (CEM). Dit is een innovatieve techniek voor borstkankerdiagnostiek die steeds vaker wordt toegepast in Nederlandse ziekenhuizen.

Sneller en minder belastend voor de patiënt

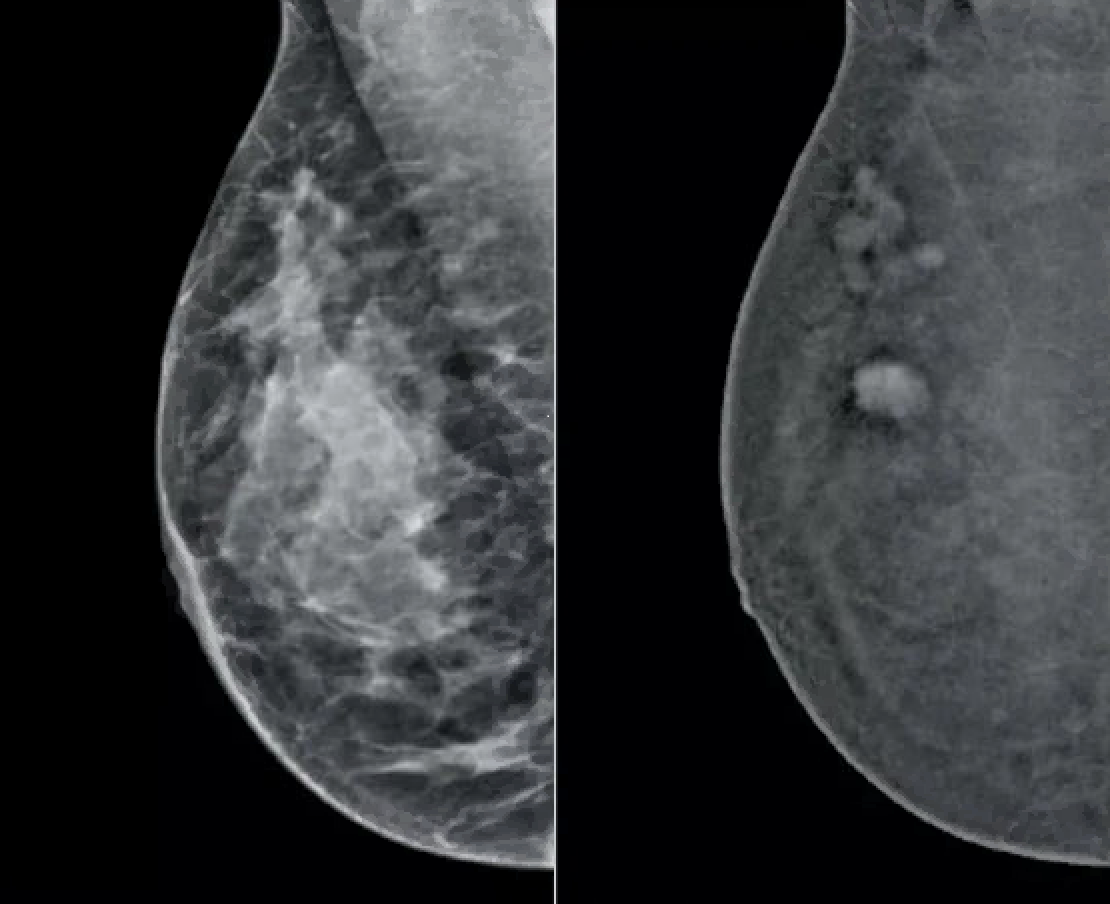
Bij CEM worden röntgenopnames van de borst(en) gemaakt nadat via een infuus jodiumhoudend contrastmiddel is toegediend. Door het gebruik van contrast wordt borstkanker beter zichtbaar en kan de aanwezigheid van een tumor soms ook beter worden uitgesloten. De diagnostische resultaten zijn vergelijkbaar met die van een MRI-scan, terwijl CEM sneller is en minder belastend voor de patiënt. Daarnaast laten studies zien dat na toepassing van CEM vaak minder aanvullende onderzoeken nodig zijn, wat ook kan bijdragen aan lagere zorgkosten.

Binnen het Deventer Ziekenhuis wordt CEM momenteel toegepast bij verwijzingen vanuit het bevolkingsonderzoek (BVO). In de komende periode worden de indicaties verder uitgebreid. Niet iedere patiënt komt in aanmerking voor CEM. De indicatie voor contrastmammografie wordt altijd door de radioloog gesteld.

Praktische zaken

  • Het onderzoek duurt niet veel langer dan een regulier mammogram.
  • Patiënten krijgen een infuus. Na toediening van het contrastmiddel kunnen zij kort een warm gevoel of plasdrang ervaren. Dit trekt snel weer weg.
  • Vooraf vullen patiënten een korte vragenlijst in, onder andere over nierfunctie en contrastallergieën. In enkele gevallen is aanvullend bloedonderzoek naar de nierfunctie nodig.
  • CEM is niet geschikt voor patiënten die zwanger zijn, allergisch zijn voor jodiumhoudend contrastmiddel of een verminderde nierfunctie hebben.
  • Na het onderzoek wordt aangeraden extra water te drinken, zodat het contrastmiddel sneller wordt uitgescheiden. We bieden plaszaken aan tegen vervuiling van het grondwater.

Heeft u vragen over deze nieuwe onderzoeksmethode of over verwijsmogelijkheden, dan kunt u contact opnemen met de afdeling Radiologie: A. Schmitz (radioloog) en D. Hilte (hoofd laborant).

Afbeelding via Tromp/Hologic website: voorbeeld mammografie zonder en met contrast.

Gerelateerde berichten

Alle informatie en communicatie tussen verwijzers en het Deventer Ziekenhuis wordt op het patiëntenportaal MijnDZ en in de toekomst op het PGO getoond. Dit geldt niet alleen voor het Zorgverlenersportaal, maar ook voor alle verwijzingen die via ZorgDomein plaatsvinden.

Naar alle Lijn1 berichten